
La tetralogía de Fallot es una malformación cardíaca congénita, que es poco frecuente, y que afecta a perros y gatos. Se trata de un defecto de nacimiento cuando el corazón del animal no se forma correctamente, afectando al flujo normal de la sangre que pasa por el corazón.
En esta malformación se combinan cuatro defectos cardiacos congénitos: 1- la existencia de una comunicación interventricular, es decir, cuando la sangre de ambos ventrículos se mezcla; 2- la estenosis pulmonar, que corresponde al estrechamiento de la arteria pulmonar; 3- la dextraposición de la aorta, relacionada con el desplazamiento de la aorta que comunica con ambos ventrículos; y 4- la hipertrofia ventricular derecha, correspondiente al aumento de la pared del ventrículo derecho como respuesta compensatoria a la obstrucción en el tracto derecho de salida del corazón.
“A raíz de la estenosis pulmonar, propia de esta malformación, se produce una obstrucción en el flujo de salida del ventrículo derecho, que unida a la comunicación entre los dos ventrículos y al cabalgamiento de la aorta sobre el septo interventricular ya defectuoso, hace que se mezcle la sangre oxigenada del lado izquierdo con la desoxigenada del lado derecho”, explica Amada Valderrama, Practice Manager de AniCura Burgos Clínica Veterinaria.
Entre los síntomas más comunes relacionados con la tetralogía de Fallot encontramos la aparición de fatiga prematura, intolerancia al ejercicio, un color azulado en las mucosas y en la piel conocida como cianosis, jadeo, tos, debilidad, signos de falta de oxígeno, en ocasiones, falta de crecimiento, presencia de síncopes e incluso muerte súbita. Además, es frecuente que en pacientes con esta patología se identifiquen soplos cardiacos, alteraciones en el pulso y aumento de células sanguíneas o policitemia.
La intensidad de los signos depende del grado de defectos anatómicos y consecuentemente funcionales del corazón de la mascota y se va agravando con la edad y con los esfuerzos a los que sea sometido el corazón (ejercicio exagerado, infecciones, intoxicaciones, mala alimentación, estrés, entre otros), siendo fundamental la detección temprana, y, en consecuencia, el manejo y el tratamiento de esta enfermedad.
Caso de éxito en el diagnóstico y tratamiento de una tetralogía de Fallot
El 0,8% de los perros que nacen presentan patologías cardiacas congénitas y de estos casos tan solo el 1% presenta tetralogía de Fallot. De allí que el tratamiento y pronóstico de estos pacientes siga siendo un reto para la cardiología veterinaria[i].
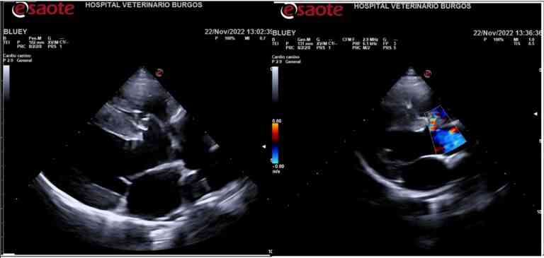
Recientemente, AniCura Burgos Clínica Veterinaria ha diagnosticado y tratado con éxito un importante caso de tetralogía de Fallot. Bluey, una perra de Braco de Weimar con 11 meses de edad, ha sido referida a este centro después de que su veterinario, al auscultarla, sospechara de un soplo cardiaco por un sonido similar a un silbido o susurro, producido por un flujo turbulento y anormal de la sangre en el corazón.
Para poder realizar un diagnóstico acertado y conocer la patología que afectaba a Bluey, fueron realizadas varias radiografías, un electrocardiograma y una ecocardiografía, que confirmaron que el animal padecía de tetralogía de Fallot. Este diagnóstico temprano fue posible gracias a la rápida acción de sus cuidadores, quienes siguieron las recomendaciones de su veterinario tras las revisiones y controles previamente realizados.
Actualmente, Bluey se encuentra en perfectas condiciones y ha vuelto a tolerar el ejercicio. Todo ello ha sido gracias a su tratamiento con la medicación β- bloqueante y a los controles rutinarios que necesitará a lo largo de su vida para asegurar ajustes o modificaciones en su tratamiento según evolucione el desarrollo de su enfermedad.